Avid Dental
Avid Dental

Smile Gallery

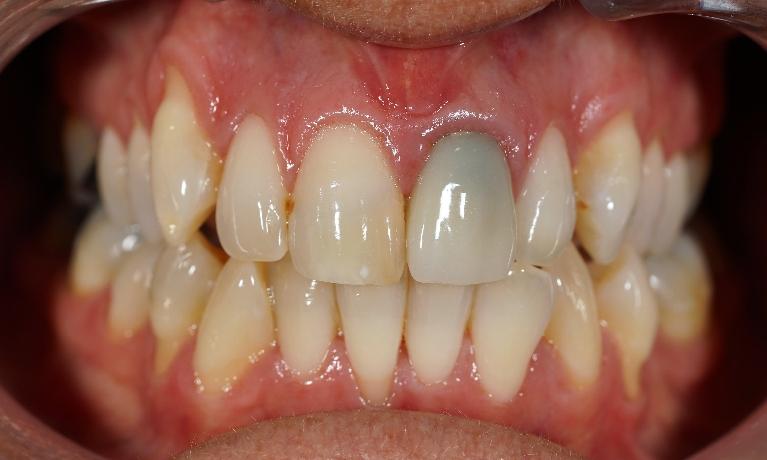
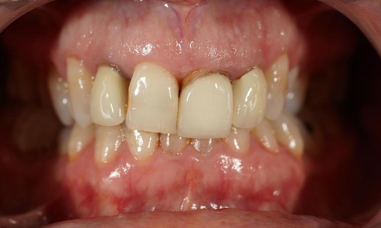
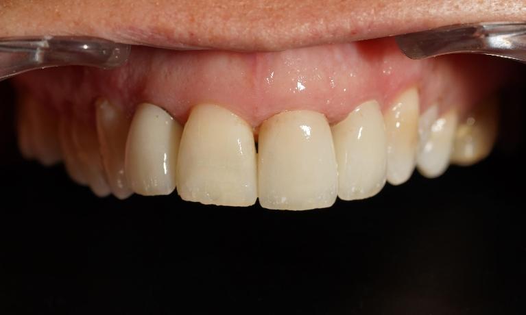
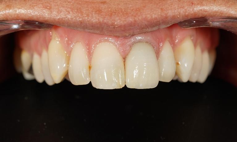
We are proud of the beautiful and functional dentistry we provide. Nothing makes us happier than seeing patients leave the clinic with a big smile they feel great about.

Please look through our patient photos to see all of the beautiful outcomes we have created at Avid Dental.

*The images shown in our Smile Gallery are examples of dental treatments provided at our practice. Individual results will vary depending on each patient’s dental needs and circumstances.

Not finding what you need?
Smile Gallery Categories
Any surgical or invasive procedure carries risks. Before proceeding, you should seek a second opinion from an appropriately qualified health practitioner.
Privacy Policy