Avid Dental
Avid Dental
Avid Dental
Avid Dental
Request an Appointment
(03) 5674 2253
General and Cosmetic Dentistry
Avid Dental Inverloch
(03) 5674 2253
27 A Beckett Street
Inverloch, VIC 3996
Avid Dental Korumburra
(03) 5655 1816
7/43-49 Commercial Street
Korumburra, VIC 3950
Menu
Call
Book Now
Map
Home
About
Our Team
Avid Dental Inverloch
Avid Dental Korumburra
Technology
Clinic Photos
Services
View All
Cosmetic Dentistry
General Dentistry
Dental Implants
Emergency Dentistry Services
Invisalign Invisible Braces
Root Canal Treatment
Traditional Orthodontics
Teeth Whitening
Tooth-Coloured Fillings
Dental Crowns and Bridges
Smile Gallery
Patient Info
Forms
FAQs
View All
Other
Emergency Dentistry Services
General Dentistry
Root Canal Treatment
Financial
Contact
View All
Avid Dental Inverloch
Avid Dental Korumburra
Avid Dental
>
Smile Gallery
>
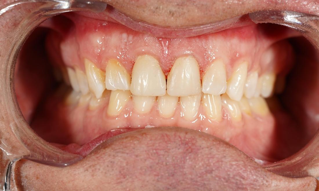
Before and After
Before and After
Return to Smile Gallery
Next
Related Services:
Cosmetic Dentistry
Performed at:
Avid Dental Inverloch
Avid Dental Korumburra
Before
After
Have Questions? Get in Touch
Contact Us
Any surgical or invasive procedure carries risks. Before proceeding, you should seek a second opinion from an appropriately qualified health practitioner.
Privacy Policy
OK!
×
×
Contact Us Today
Give Us A Call
Avid Dental Inverloch -
(03) 5674 2253
Avid Dental Korumburra -
(03) 5655 1816
Send Us an Email
Which location?
Avid Dental Inverloch
Avid Dental Korumburra
Request an Appointment
Contact Us
Ready to Schedule an Appointment?
Book Online
Have Questions? Contact Us:
Required Field
Your Name:
Phone:
Email:
Are you a new patient?:
Are you a?
New Patient
Current Patient
How would you like us to contact you?
Please choose
Email
Call
Text
How did you hear about us?
Please choose
I'm an existing patient
Google/Bing
Mailer
Word of mouth
Social media
Other
Who Referred You?:
Appointment Preferences
Monday
Tuesday
Wednesday
Thursday
Friday
Your Message:
This site is protected by reCAPTCHA and the Google
Privacy Policy
and
Terms of Service
apply.
Sending...
×
This Patient's Experience
Loading Testimonial...
Loading Case...